
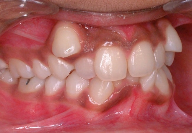
Your misaligned teeth might be responsible for other issues like an improper bite besides marring your facial appearance. Malformed jaws manifest themselves in 3 ways –
- ✔ protruding jaws (upper or lower)
- ✔ an open bite
- ✔ your lower jaw slanted to one side
Whichever may be the case, bite correction along with an even alignment of the jaws is utterly necessary for the following reasons:
- ✔ enhanced self-consciousness and a high self-esteem
- ✔ improved speaking abilities, especially for people with lisping issues
- ✔ better chewing capabilities for individuals suffering from jaw issues
- ✔ allows proper oral cleaning like brushing and flossing and spreads out their effects evenly
Why are individuals affected with malocclusions?
The causes behind misalignment in your jaws are varied. It can be anything from a simply inherited physiology to an advanced gum disease! A checklist of the probable reasons will let you have an idea of the same:
- ✔ thumb sucking or finger sucking during infant days
- ✔ sudden injury or trauma that has affected the jaws
- ✔ breathing through the mouth in childhood
- ✔ cleft lip and palate
- ✔ feeding bottle syndrome (due to prolonged use of feeding bottles during the childhood)
- ✔ impacted or abnormally shaped teeth
- ✔ Acute gum disease that results in periodontitis, thus affecting your jaw bone.
Probably there could be still other reasons behind jaw problems. Hence, the dental science has worked up a number of ways to deal with them. Some of them are –
Braces
According to authentic sources, braces are a standard treatment for a misaligned jaw. The traditional treatment involves attaching brackets to your teeth and connecting them with a wire. At regular intervals, your orthodontist tightens the wire, which gradually moves your teeth and jaw into alignment. The commonest case where braces are applied is an overbite, where the upper jaw goes too far forward and the upper teeth protrude.
Headgear Braces
When it becomes impossible for regular braces to correct the amount of jaw misalignment, your orthodontist recommends the use of headgear braces. A retraction headgear moves the upper jaw back, and a protraction headgear moves the upper jaw forward. Both types are fixed with a strap or two straps to fit over the head and neck. Headgear braces need to be worn 12 to 14 hours a day.
Upper Jaw Expander
When the lower jaw protrudes and the lower teeth are in front of the upper teeth, this appliance is put to use. Your bite can be correctly noticed only when the mouth is closed. The upper jaw expander is a wire frame device that fits across the upper palate. The expander needs to be widened by a tiny amount every night, using a special key. After about one year, the desired results are fully achieved.
Finally,
The last resort (like in many other medical issues) remains to be surgery. In severe cases that cannot be corrected with the use of orthodontic devices jaw surgery may be needed. A maxillofacial surgeon uses fixed plates, screws, and wires to the jaw to correct the problem. Surgery is usually recommended only when malocclusions affect your day-to-day functions such as eating, speaking, and sleeping.
