Image

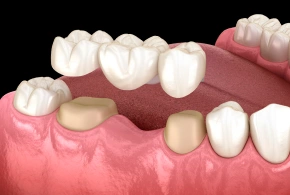
How Can I Replace Missing Teeth With Dental Bridges?

Image

What to Expect at Your Dental Bridge Consultation

1. Thorough Examination

2. Treatment Planning

3. Preparatory Procedures

4. Impression Taking

5. Temporary Bridge Placement

1

Thorough Examination

Our dentist will examine your teeth, gums, and jaw to assess the condition of your oral health. X-rays or digital scans may be taken to aid in the evaluation process.

2

Treatment Planning

Our dentist will develop a customized treatment plan tailored to your specific needs based on the examination results. We will explain the dental bridge options and help you choose the most suitable one.

3

Preparatory Procedures

If you proceed with a dental bridge, our dentist may need to prepare the adjacent teeth by removing a small amount of enamel. This ensures a proper fit for the dental crowns supporting the bridge.

4

Impression Taking

We will take impressions of your teeth to create a precise model for the dental bridge fabrication. These impressions guide crafting a bridge that fits comfortably and blends seamlessly with your natural teeth.

5

Temporary Bridge Placement

While your custom dental bridge is being created in a dental laboratory, a temporary bridge will protect the prepared teeth and maintain your smile’s appearance.

Dental Bridge Options

Image

Traditional Fixed Bridge

This is the most common type of dental bridge, consisting of pontics (artificial teeth) held in place by dental crowns on the adjacent healthy teeth.
Image

Cantilever Bridge

A cantilever bridge is used when only one adjacent tooth is available for support. The pontic is anchored to a single dental crown.
Image

Resin-Bonded Bridge

Also known as a Maryland bridge, this type uses a metal or porcelain framework bonded to the back of adjacent teeth. It is a conservative option suitable for certain cases.

Have Questions About Dental Bridges?
Find Answers Here.

New Patients & Emergency Appointments Welcome